.avif)








“I’ve had tests before. I still don’t feel clear.”
You’re tired of partial answers, scattered results and vague reassurance.
One comprehensive scan. One clear explanation.
Outcome:
Fewer unknowns. Clear direction.
“This runs in my family. I don’t want to be blindsided.”
When illness is inherited, waiting for symptoms feels a bit like gambling.
We take your scan with your family history in mind, looking for early structural changes before disease takes hold.
Outcome:
Reassurance, or early action while outcomes are strongest.
“I optimise everything else. My health data should be just as serious.”
You train, you track, you invest in performance. But most tools only see the surface.
A full-body MRI shows what blood tests, wearables and fitness scans, often can’t.
Outcome:
Decisions based on what’s actually happening inside your body.
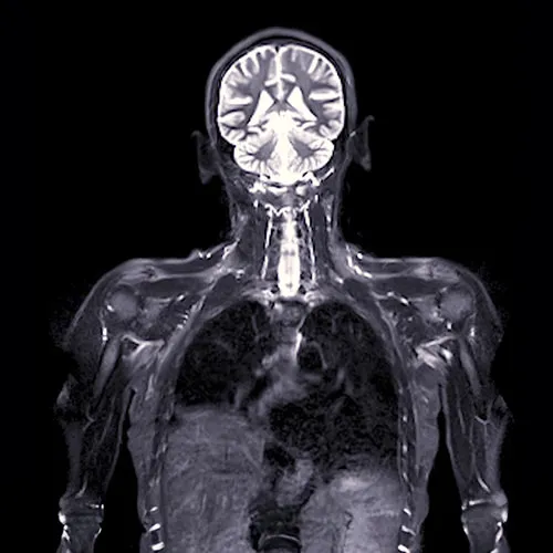
“I don’t wait for symptoms to tell me something’s wrong.”
You’d rather catch things early, when options are simpler and outcomes are better.
Your scan looks across the brain, spine and vital organs in one session, with clear next steps if anything appears.
Outcome:
Less waiting. More control.
“I feel fine, but I don’t really know what’s going on inside.”
You’re not chasing problems. You just want a true internal baseline so you’re not guessing about your health.
A full-body MRI gives you a clear starting point, explained by doctors in plain language.
Outcome:
You know what’s normal for you, and what’s worth watching.